Practice Update: We are welcoming patients at our new location in partnership with Dr. Scott Evans. Same team, same care, with a smooth transition for everyone!
Dentist University Park Tx
Dallas' Premier Dental Care: Where Your Smile Finds Its Perfection
📞 Have a Question? Call to Speak With us.
Our dental team is ready to answer your questions and help you find the right solution.
Real Stories, Real People
Care Rooted in Long-Term Trust
Choosing a dentist in Dallas means choosing someone you can rely on through every stage of life. Patients want clear explanations, thoughtful recommendations, and care that feels steady rather than rushed. At Evans and Randall Dentistry, Dr. Drew Randall and Dr. Scott Evans provide family-focused dental care built on consistency, experience, and respect. Their approach centers on listening first, explaining options in plain terms, and helping patients feel confident about each decision.
Dr. Randall and Dr. Evans care for individuals and families across Dallas, including Highland Park, University Park, and the surrounding communities. Patients value seeing familiar doctors who work together closely and understand their history over time. By combining advanced training with a calm, relationship-driven approach, the practice supports everything from routine preventive visits to urgent dental concerns, always with long-term health in mind.
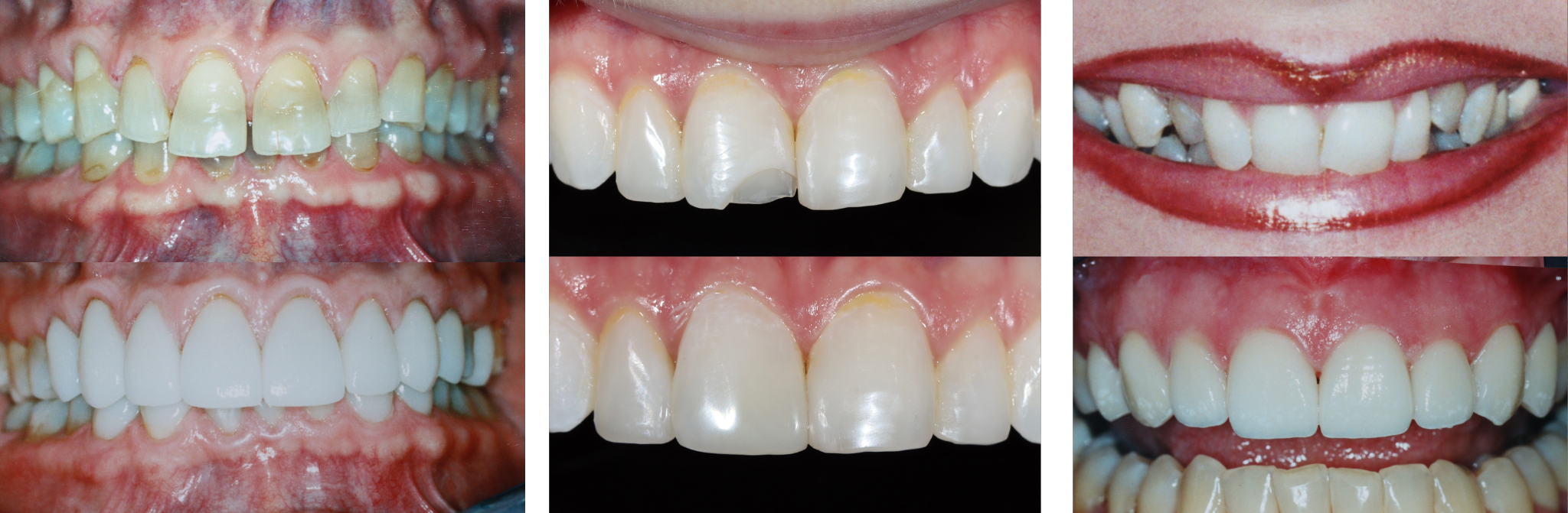
Check Out Our Smile Gallery
Dentistry That Works for Real Life
Life in Dallas moves quickly with work, family, and full schedules that leave little room for uncertainty. When dental care feels rushed or confusing, it is easy to delay decisions. At Evans and Randall Dentistry, care is designed to feel clear and manageable, so patients can understand what matters now, what can wait, and what each option means for their health.
Patients often share that they stay because they never feel pressured and they feel genuinely heard. From routine preventive visits to unexpected tooth pain, the goal is to provide steady, dependable care that fits real life without added stress.
Why Families Choose Randall Family Dentistry
Families choose Evans and Randall Dentistry because they want care that feels steady and honest. Many patients share that they came to us after feeling rushed or pressured elsewhere. Here, conversations come first. Dr. Drew Randall and Dr. Scott Evans take time to explain what they see, what needs attention now, and what can safely wait, so patients feel confident in their decisions.
Another reason patients stay is reliability when life does not go as planned. The practice is designed to respond thoughtfully when unexpected dental issues arise, without added stress or confusion. Patients across Dallas value being known by name and having their history understood, trusting that their care is built around long-term relationships rather than quick fixes.
Dental Care for Every Stage of Life
General Dentistry
Everyday dental care that helps families avoid bigger problems and stay comfortable long term.
Restorative Dentistry
Dental treatments that repair damage, restore chewing comfort, and protect your smile.
Cosmetic Dentistry
Smile-focused care that improves appearance while keeping teeth strong and healthy.
Emergency Dental Care
Dental emergencies rarely give you time to plan. Sudden tooth pain, swelling, or dental trauma can escalate quickly and make everyday tasks feel impossible. Emergency dental care focuses on relieving pain, controlling infection, and understanding what caused the problem so it does not return. Clear guidance in these moments helps patients act quickly and avoid complications that come from waiting too long.
Patients from Highland Park, University Park and Uptown often reach out when dental pain shows up suddenly or gets worse overnight. Whether it’s nerve pain, infection, or a damaged tooth, the focus is on calming the situation and explaining what happens next in clear terms. Knowing a trusted emergency dentist is nearby helps patients feel confident they’re making the right call, not a rushed one.
Insurance and Payment Options
Questions about cost are completely normal, and clear answers matter. At Evans and Randall Dentistry, the team works with many major dental insurance plans and PPO providers. Before any treatment begins, coverage and expected costs are reviewed so there are no surprises and decisions feel informed.
For patients without insurance, simple payment options and in-house dental membership plans are available. These plans help make routine care more manageable and can be used on their own or alongside insurance. Patients often share that they appreciate having options and feeling respected, not rushed or pressured, when it comes to their care and their budget.
Dentistry Led by Experience
Evans and Randall Dentistry is led by Dr. Drew Randall and Dr. Scott Evans, two experienced dentists who share a commitment to long-term patient relationships and thoughtful care. Together, they combine advanced clinical training with a steady, consistent approach that helps patients feel confident about who is guiding their treatment. Many families appreciate knowing they will see familiar doctors who work closely together and value continuity of care.
Dr. Randall and Dr. Evans believe dentistry should feel calm, clear, and respectful. They take time to explain findings, discuss options, and help patients make decisions that fit their needs and goals. Patients often share that trust grows over time, knowing their history is understood and their care is never rushed or handed off unexpectedly.

Dr. Drew Randall cares for patients throughout Dallas with a focus on long-term health, comfort, and trust. Having grown up in Irving, Texas, he values strong community ties and clear communication, helping patients feel informed and confident even when treatment decisions feel complex.
Dr. Randall earned his Doctor of Dental Surgery degree from the Texas A&M University System – Baylor College of Dentistry and completed advanced education in general dentistry at the VCU School of Dentistry in Richmond, Virginia. He provides comprehensive care including crowns, bridges, implants, root canal therapy, and cosmetic procedures, with an emphasis on predictable outcomes and patient comfort.
Committed to continuing education and evidence-based care, Dr. Randall is a member of the American Dental Association and leads Randall Dentistry with a calm, patient-first approach. Outside the office, he enjoys time with his wife and four children and remains active in the Dallas community through Park Cities Presbyterian Church.
Learn more about Dr. Drew Randall

Dr. Scott Evans, D.D.S., provides comprehensive dental and orthodontic care for children, teens, and adults in and around Dallas, TX. His approach emphasizes patient comfort, clear communication, and treatment plans designed to support long-term oral health. At his practice, Dr. Evans combines advanced techniques with a welcoming environment to help patients feel at ease throughout their care.
Dr. Evans offers a full range of services, including routine dental exams and cleanings, crowns and bridges, dental implants, veneers, cosmetic whitening treatments, and orthodontic care. He provides both Invisalign® and traditional braces, allowing patients to choose orthodontic solutions that fit their lifestyle and goals. His focus is on creating functional, healthy smiles while maintaining a natural appearance.
Dr. Evans earned his Doctor of Dental Surgery degree from Baylor College of Dentistry after completing his undergraduate studies at Texas Tech University. He remains committed to continuing education and evidence-based dentistry to ensure patients receive care aligned with current standards. He is an active member of the American Dental Association, the American Orthodontic Society, and the Texas Dental Association.
Getting Started With Your Dental Care Is Simple
Get Started in 3 Easy Steps….
Frequently Asked Questions
Do you accept dental insurance in Dallas?
Evans and Randall Dentistry works with many common dental insurance plans and helps patients understand their benefits before treatment begins. Coverage varies by plan, so the team reviews what is included, what may be out of pocket, and how to plan care clearly. The goal is to avoid surprises and help patients make informed decisions.
Even if we’re out-of-network, we’ll still file claims and help you get reimbursed. Our team handles all the paperwork and fights with insurance companies so you don’t have to. We’ll maximize your benefits by timing treatments to use your annual maximum wisely and pre-authorizing larger procedures so there are no surprises about coverage.
How can I maintain my teeth if I can’t afford regular dental visits
Even when visits are limited, daily habits still matter. Brushing twice a day, flossing carefully, avoiding sugary drinks, and using fluoride toothpaste can help protect teeth and gums. The team at Evans and Randall Dentistry is also happy to share practical home-care guidance during visits so patients can do the most with what they have. “What financing and assistance options
How much does a typical dental appointment cost in Dallas?
The cost of a dental visit depends on what services are needed, such as exams, cleanings, or X-rays, and whether insurance is involved. Randall Dentistry reviews fees and coverage before treatment whenever possible so patients know what to expect. For many routine visits, insurance may cover a large portion of the cost.
What areas does Evans and Randall Dentistry serve?
Randall Dentistry serves patients throughout Dallas, including University Park, Highland Park, the Park Cities, Preston Hollow, and surrounding neighborhoods. Many patients choose the practice because it is convenient to where they live, work, or attend school.
What are my options if I don’t have money right now
Many patients worry they have to delay care if finances are tight. At Evans and Randall Dentistry, the team focuses on prioritizing urgent needs first, phasing treatment when possible, and discussing payment or financing options that may help make care manageable. Talking openly about budget allows the dentist to recommend a realistic plan instead of rushing decisions.
What happens at my first appointment at Evans and Randall Dentistry?
A first visit focuses on understanding you, not rushing treatment. The appointment typically includes a review of your dental and medical history, an exam, any necessary X-rays, and a conversation about concerns or goals. Dr. Andrew Randall or Dr. Scott Evans then explains findings clearly and discusses next steps, if any are needed.
How often should I visit the dentist?
Most patients benefit from dental visits every six months for exams and cleanings, though some may need more or less frequent care based on risk factors. Regular visits help catch small issues early, reduce the chance of emergencies, and make long-term dental care easier to manage.
Our Commitment to Your Safety
Randall Dentistry follows all American Dental Association (ADA) and the Texas Dental Board safety standards. The office follows strict sterilization and infection-control protocols, uses modern equipment, and stays current with recommended safety standards. These measures help ensure every visit is clean, comfortable, and safe for patients and staff.
Contact Our Dental Office
Contact Us
Phone:
214-750-4901
NEW Address:
6031 Sherry Ln,
Dallas, TX 75225
Dr. Andrew Randall
TX Licence #19682
Dr. Scott Evans
TX License #15030
Office Hours
Monday – 8:00 – 5:00
Tuesday – 8:00 – 5:00
Wednesday – 8:00 – 5:00
Thursday – 8:00 – 5:00
Friday – 8:00 – 5:00
Saturday & Sunday – Closed






